Discover the transparent, modern alternative to braces with Invisalign in New York.
Nishita Gandhi, DDS, is a leading general and cosmetic dentist serving the New York City area, with two convenient Bronx locations. As a board-certified dentist and a graduate of New York University, Dr. Gandhi is dedicated to providing her patients with personalized care and education that emphasizes preventative dental practices.
Invisalign uses clear, custom-fitted aligners to gently straighten your teeth—no metal, no brackets. Every few weeks, you’ll switch to a new set as your smile gradually transforms.
Nearly invisible and easily removable, Invisalign makes the journey more comfortable than traditional braces. Enjoy your favorite foods, keep your cleaning routine simple, and smile with confidence every step of the way.
An underbite occurs when the lower front teeth extend past the upper front teeth at rest.
An overbite is when the upper front teeth extend beyond the lower front teeth at rest.
An open bite occurs when the upper and lower teeth fail to touch at rest.
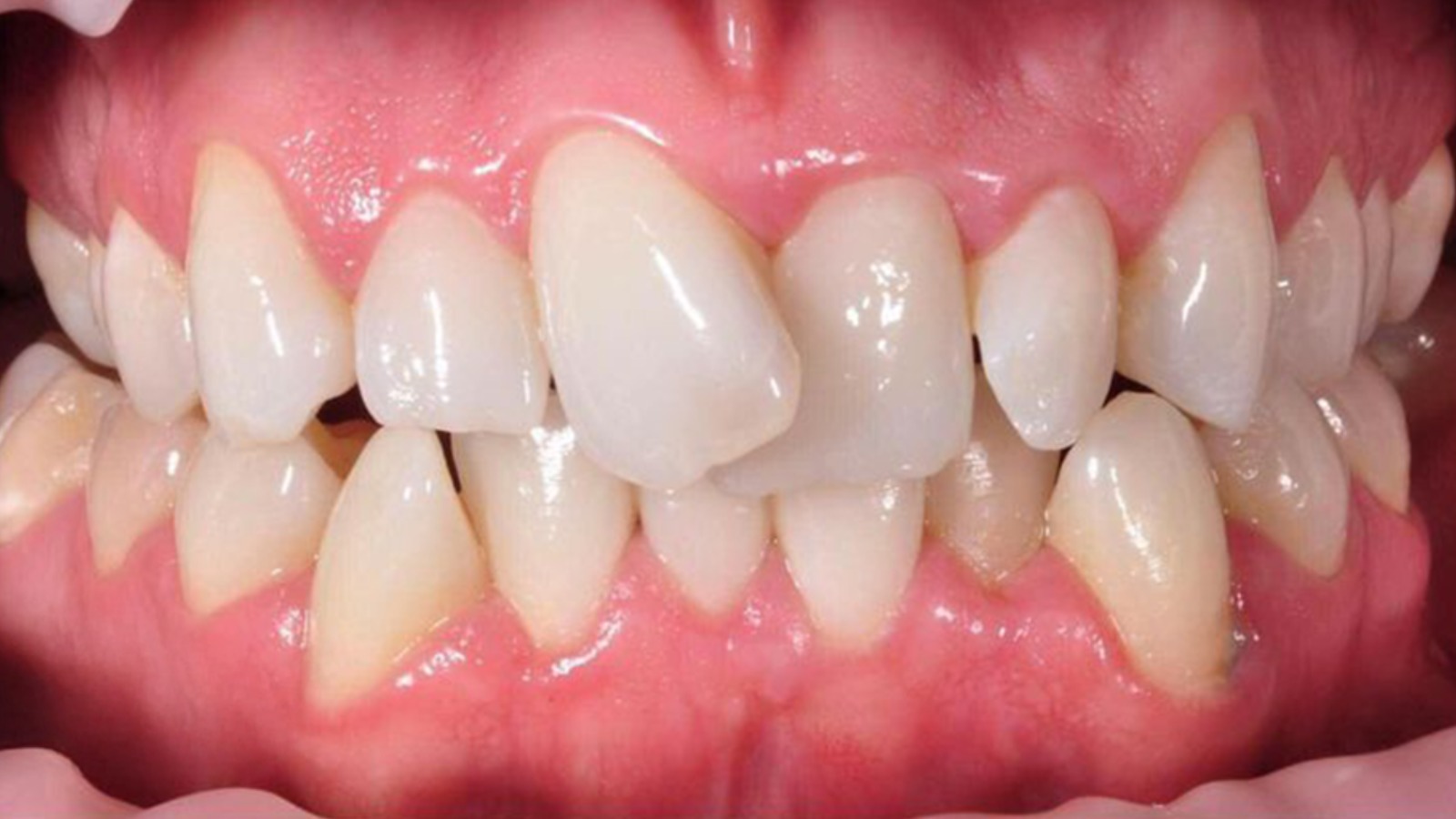
Crowding occurs when there isn’t enough space in the jaw for teeth to align properly, causing them to overlap, twist, or shift forward and backward.
When the jaws are shut, certain upper teeth rest behind the lower teeth instead of overlapping them—this is known as a crossbite.
Spacing occurs when there are extra gaps between two or more teeth.
Your Invisalign journey begins with a personal consultation. Our doctor will review your smile goals, examine your bite and alignment, and confirm if Invisalign is the best solution for you.
Using advanced digital scans, we’ll create a precise 3D model of your teeth. From this, your series of clear, custom aligners are crafted to gently shift your teeth into the desired position.
Every few weeks, you’ll switch to a new set of aligners as your teeth gradually move. With regular check-ins, we’ll monitor progress until your new smile is complete.
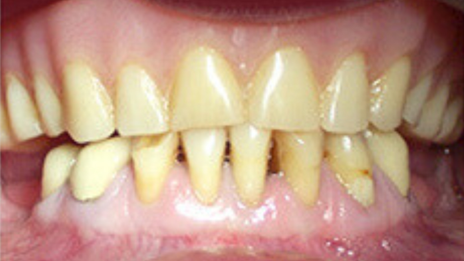
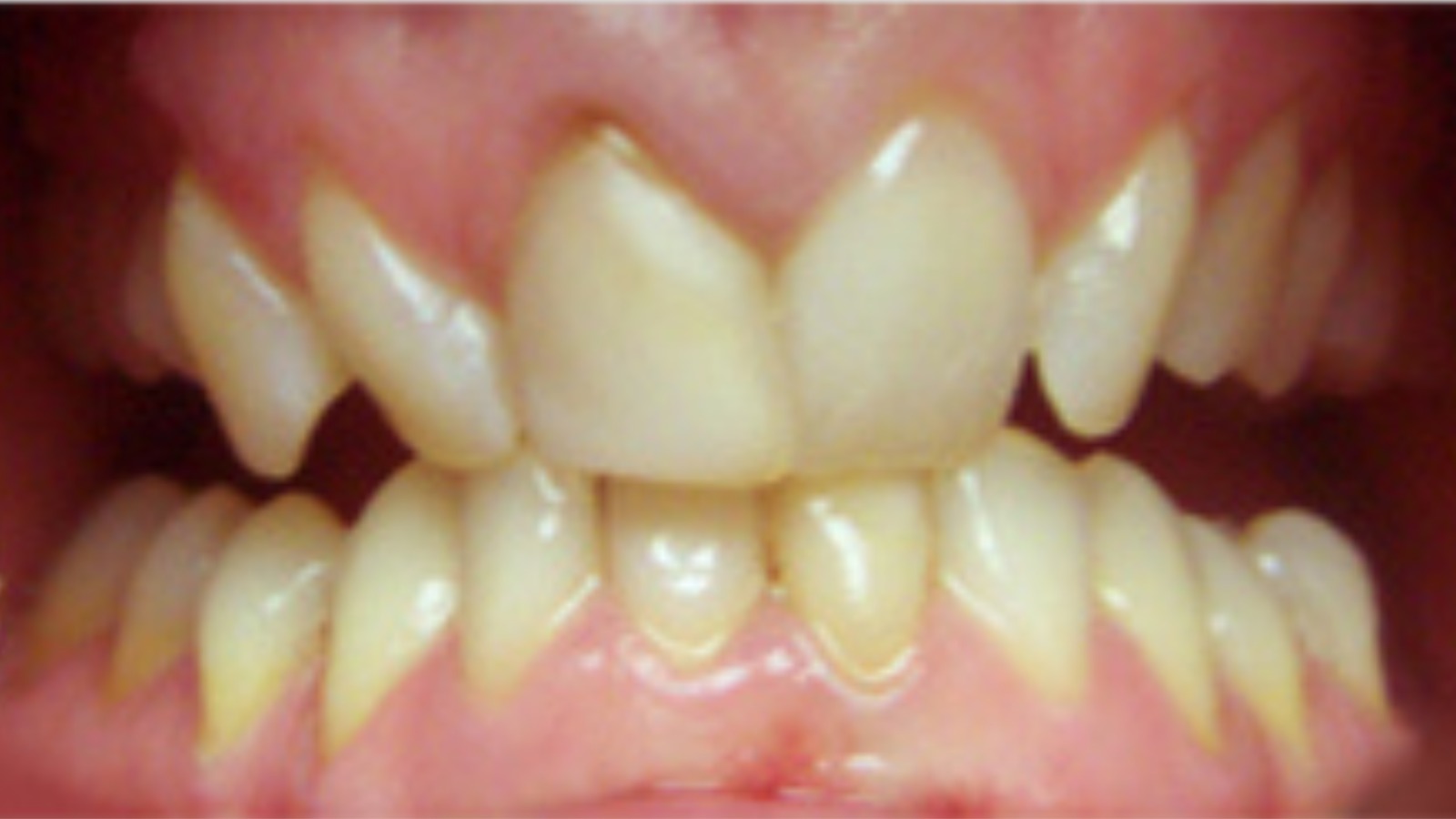
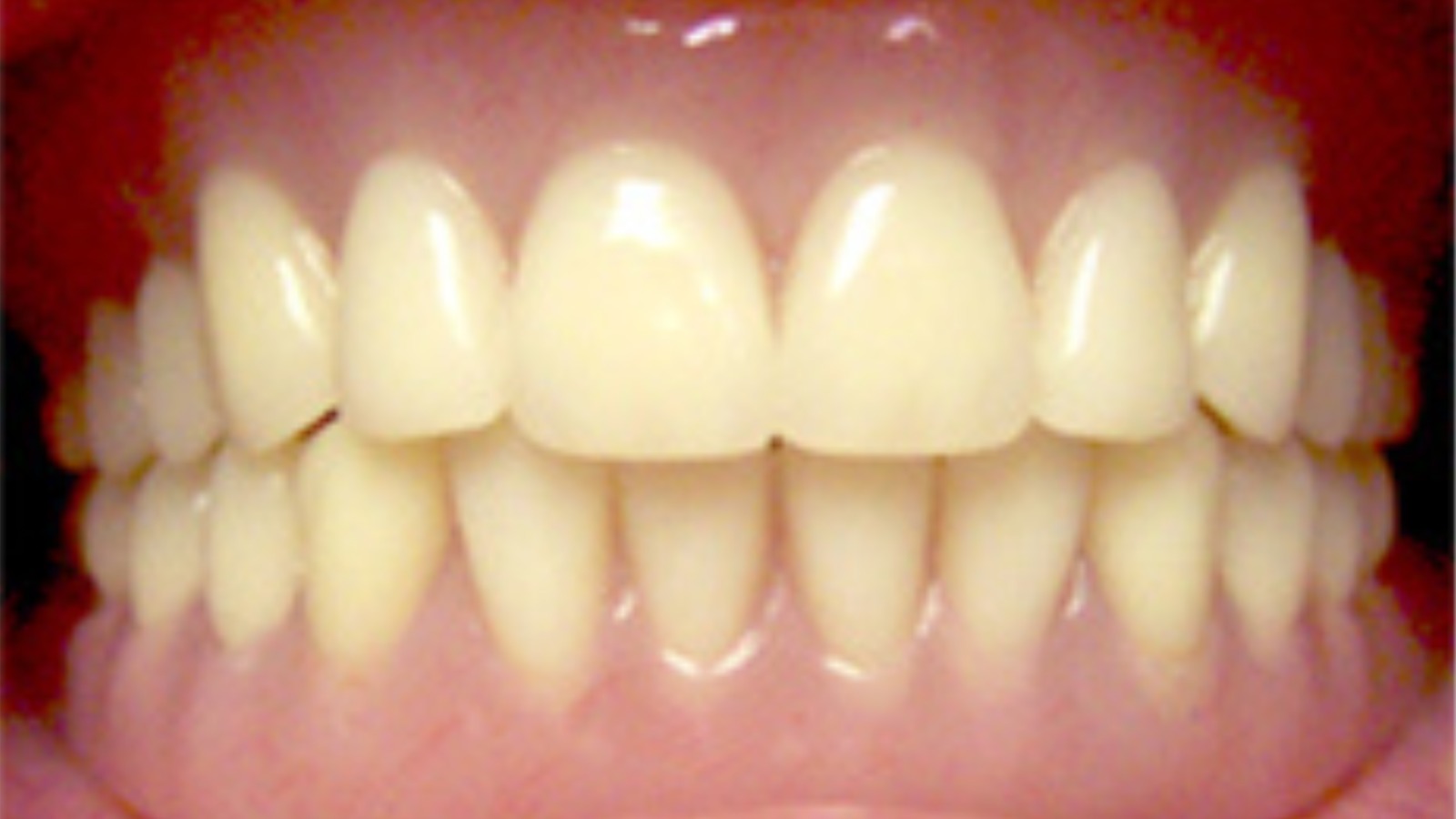
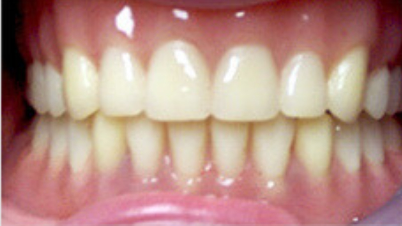
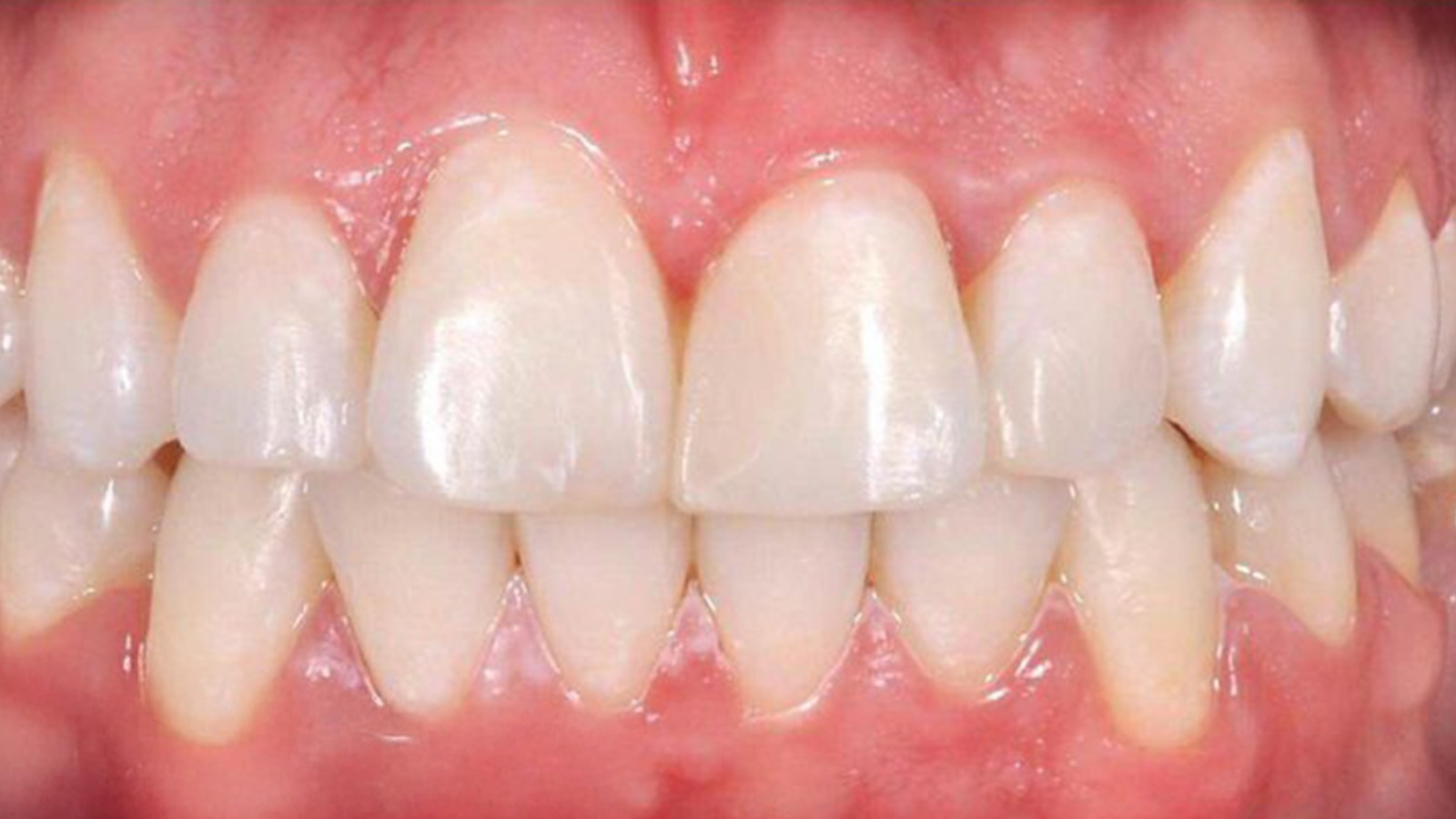
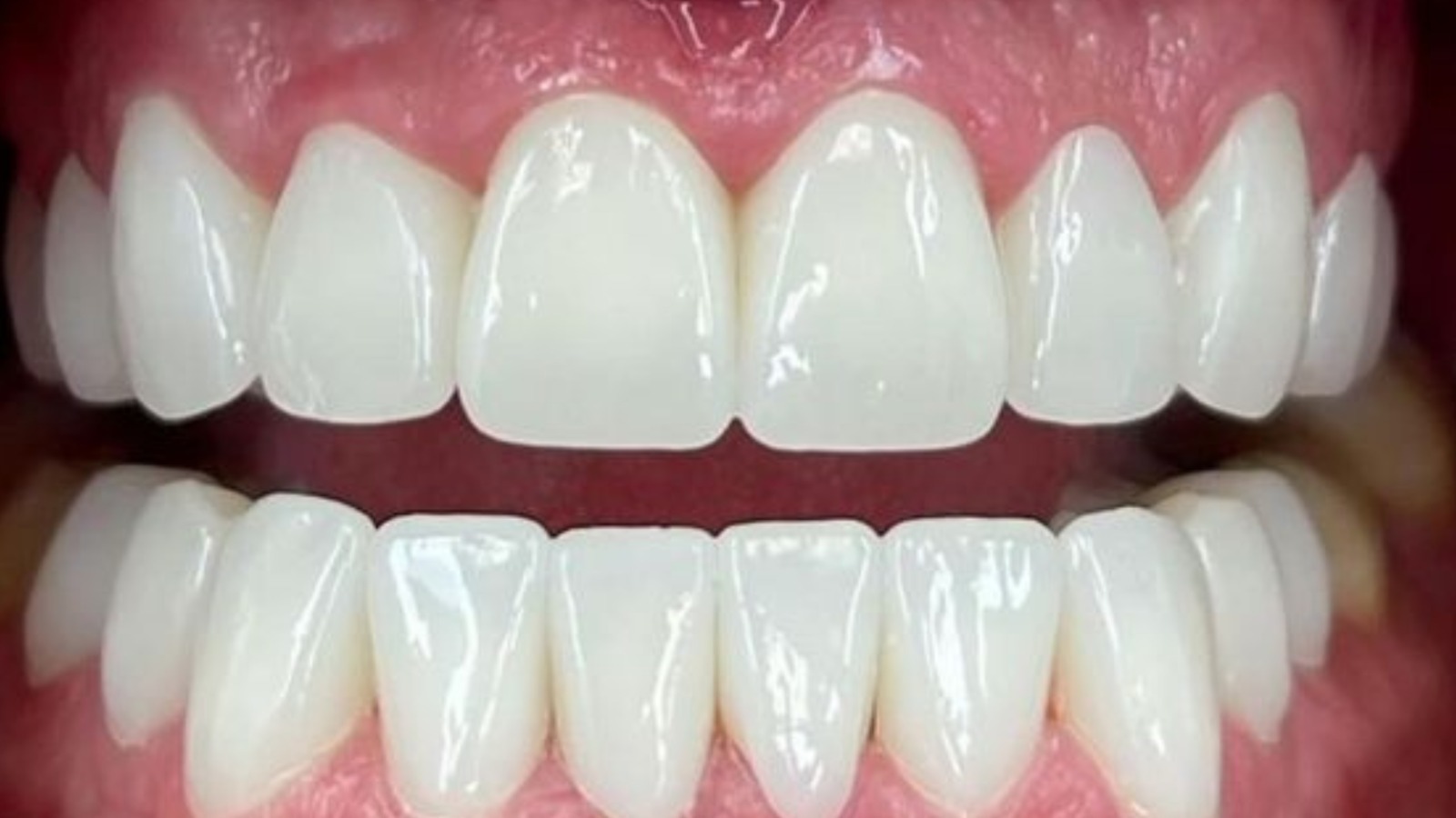
Here are real patient before-and-after photos—please note that results can differ for each person.






With our SmileView App, you can preview your future smile in seconds—just snap a smiling selfie on your phone for a free simulation!
On Desktop: Scan the QR code with your phone to get started.
On Mobile: Tap the QR code to be redirected to the app.
At the heart of our practice are our patients. We are dedicated to ensuring their comfort, health, and happiness.